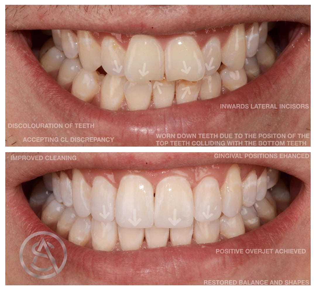
Oliver came to Space Dental keen to improve his overall smile. His teeth had worn down due to them being crowded and colliding the top teeth with the bottom teeth. He also had teeth which were sticking inwards behind his front two teeth.Our specialist cosmetic dentists conducted a full examination of the teeth and jaw before creating a custom treatment plan for Invisalign, whitening and composite edge bonding.As with all our patients, Oliver’s first appointment at the clinic was a 1hr tooth and gum conditioning appointment, before any treatment can be started it is imperative that our patient’s gums and teeth health are in a healthy state.Because Oliver was suffering from gingivitis (bleeding gums) this appointment was repeated every 8 weeks until his tooth and gum health was at a standard for starting treatment, if left untreated this could be detrimental to the health of the patient teeth. After receiving the all-clear from our Hygiene Therapist the next stage of treatment was able to start.Oliver had 16 weeks of Invisalign treatment to correct the crookedness in his upper and lower teeth including 4 weeks of custom whitening treatment. This was then followed by a 1.5hr appointment with our cosmetic dentist who handcrafted and sculpted the bottom of her teeth with composite edge bonding to give Oliver a perfectly natural-looking healthy smile.